... Fibroma no Osificante ...

(fibroma histiocítico, defecto o laguna fibrosa de la cortical o diafisaria, defecto metafisario)

Discusión: 

La OMS lo define como una lesión ósea no neoplásica de etiología oscura, caracterizada por la presencia de tejido fibroso dispuesto en remolinos, conteniendo células gigantes multinucleadas, pigmento hemosiderínico e histiocitos cargados de lípidos.

El fibroma no osificante (fibroma no osteogénico) y el defecto fibroso cortical (defecto metafisario) son las lesiones fibrosas más frecuentes del hueso y son histológicamente idénticos. Algunos autores prefieren llamarlos fibroxantomas, Schajowicz los denomina xantogranuloma histiocítico.

Hatcher los llamó defecto fibroso metafisario indicando así que estas lesiones son más un defecto del desarrollo que una verdadera neoplasia. En cambio Jaffe los llamó fibroma no osificante, insistiendo en su naturaleza neoplásica, pero utilizó el término defecto fibroso cortical para las lesiones corticales o subperiósticas más pequeñas, y admite que esas pueden aumentar de tamaño y desarrollar un fibroma no osificante, teniendo ambas entidades los mismos caracteres histológicos. La OMS, dado que su etiología es desconocida, prefiere llamarlo defecto fibroso metafisario, que es un término puramente descriptivo. Schajowicz lo denomina como granuloma histiocitario xantomatoso que refleja su aspecto histológico y su patogénesis.

Lichtenstein propuso que las lesiones circulares u ovoides pequeñas de las metáfisis de los huesos largos que tienden a desaparecer de manera espontánea con el crecimiento del esqueleto son defectos del desarrollo en la osificación (por ejemplo defectos fibrosos de hueso), mientras que las lesiones medulares fibrosas que persisten y a veces aumentan de tamaño son fibromas no osificantes.

Son tumores benignos con características ligeramente diferentes. Ambos son asintomáticos y se descubren casualmente por unas radiografías hechas por otro motivo,

  • El defecto fibroso cortical (metafisario) se localiza en la cortical, excéntricamente y generalmente debajo de una inserción de un tendón o un ligamento, por lo que podría estar relacionado con estrés o microtraumatismos. La corteza es erosionada desde fuera y sustituida por tejido fibroso e histiocitario con células gigantes multinucleadas y macrófagos cargados de lípidos. Es asintomático, normalmente solitario, con predilección por los hueso largos. Es muy común. Según Mirra et al. el 30-40% de los niños entre 4 y 8 años presentan esta lesión.

  • El fibroma no osificante, también suele ser una lesión solitaria, aunque pueden tener áreas de afectación múltiple. A diferencia del defecto fibroso cortical asienta más en el área metafisaria y localización central. Solo da síntomas si se provoca una fractura de estrés o una fractura patológica. Pueden ocurrir en pacientes de más de 25 años. Algunos autores piensan que se originan en defectos metafisarios previos, que crecen e invaden la porción ósea medular.

Presentación clínica

Es el resultado del defecto de desarrollo del hueso cortical periosteal que lleva al fracaso de osificación.

Historia natural: 

La lesión se desarrolla típicamente en la niñez y adolescencia, y es más frecuente en varones (2:1).


Ambas lesiones tienen predilección por los huesos largos, particularmente el fémur (metáfisis distal y diáfisis) y la tibia.


El defecto fibroso cortical es la lesión más común y es asintomática. El término fibroma no osificante se aplica a aquellas lesiones que aumentan y se extralimitan de la porción medular del hueso.


Durante la adolescencia el fibroma no osificante es una lesión activa en estadio 2 que persiste o agranda a lo largo del tiempo. Con la maduración del esqueleto, el fibroma no osificante se pone latente y regresa o finalmente se osifica.

 Recientemente se han demostrado unos estadios radiomorfológicos de progresión y regresión del defecto fibroso cortical metafisario.


Estadio A
. En esta fase la lesión se localiza cerca del platillo de crecimiento. Tiene forma redonda u oval y está rodeada de un fino margen de esclerosis.

Estadio B. La lesión se sitúa en la metáfisis y tiene un forma policíclica, rodeada de un margen de esclerosis que le da a la lesión un aspecto de racimo de uva.

Estadio C. Representa el inicio del proceso de curación, y muestra un aumento en la mineralización que, característicamente, comienza en la parte más cerca de la diáfisis de la lesión y progresa hasta la más próxima al cartílago de crecimiento.

Estadio D: Representa la curación, y la lesión y se convierte en esclerosa.

Las lesiones tempranas y medias se encuentran en los pacientes menores de 20 años, normalmente son excéntricas y solo causan síntomas si el hueso se debilita lo suficiente para producir microfracturas o fracturas de estrés en el área. Cuando el tumor ocupa > 50% de diámetro de hueso, el hueso es propenso a la fractura.

La presentación multifocal del fibroma no osificante es rara. Moser et al. encontraron que un 8% de pacientes presentan lesiones multifocales. Estas lesiones multifocales muestran cuatro tipos de patrones:

  • Arracimada, generalmente alrededor de la rodilla.

  • No arracimada, en los tercios distales opuestos de los huesos largos.

  • Varias lesiones pequeñas que se juntan y forman una lesión grande.

  • Apariencia metacrónica con lesiones nuevas que eventualmente aparecen cerca de la lesión original. Ocasionalmente estas lesiones múltiples se asocian con neurofibromatosis (Síndrome de Jaffe-Campanacci).

Estudios de imagen:   

Wilner propuso la siguiente clasificación radiológica de estas lesiones:

    • Defecto metafisario fibroso

    • Defecto cortical fibroso

    • Defecto endóstico fibroso

Otra clasificación:

  • Defecto metafisario-diafisario fibroso

    Defecto medular fibroso

  • Periférico (fibroma no osificante o no osteogénico)

  • Central

Radiografías

La radiografía simple generalmente es diagnóstica.

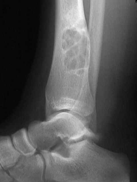
El fibroma no osificante normalmente es excéntrico en su situación (figura1) esta lesión involucra más a menudo el canal medular y la corteza subyacente. Se presenta como un defecto radiolucente elíptico, Se localiza en la metáfisis o el área metadiafisaria y exhibe un modelo de crecimiento longitudinal. Los bordes exteriores de la lesión son lobulados, semejando un racimo de uvas (figura2). La arquitectura interior tiene una apariencia espumosa. Hay normalmente una corteza de hueso reactivo o esclerosis que rodean la lesión; puede haber adelgazamiento cortical y en algún caso ligera expansión, que puede mal interpretarse como un cambio maligno (figura 3). No hay reacción perióstica a menos que haya una fractura patológica.

El tamaño varía de 0.5 hasta 7 cm. Existen varios estadios intermedios. las pequeñas lesiones corticales o subperiósticas se presentan como una excavación en la cortical (Entonces se llaman defecto fibroso cortical) y las lesiones más grandes (que se llaman fibroma no osteogénico o defecto fibroso metafisario), y generalmente se reconoce que básicamente son diferentes manifestaciones de un mismo proceso. Su eje más largo está alineado con el eje longitudinal del hueso afecto. Muchos focos experimentan una involución espontánea (curación) por un proceso de remodelación del hueso tubular con una disminución del diámetro de la diáfisis, resultando finalmente en una osteoesclerosis. Unas pocas lesiones pueden continuar creciendo y extenderse hasta la la cavidad medular y muestran un borde esclerótico festoneado que se localiza excéntricamente en el hueso.

Generalmente, las radiografías simples son suficientes para el diagnóstico y las técnicas de imagen adicionales no son necesarias.

Gammagrafía:

Normalmente muestra una captación ligeramente aumentada que puede ser muy difícil de distinguir debido al platillo de crecimiento adyacente. 

TAC y RM

Una tomografía computadorizada, sin embargo, puede mostrar mejor el adelgazamiento cortical y la implicación medular, y delinear precozmente una fractura patológica.

 
Las imágenes de resonancia magnéticas, cuando se hacen, generalmente muestran un signo bajo en T1 y T2; esto refleja el tejido fibroso que hay en la lesión. Después de la inyección de gadolinio, el defecto fibroso cortical muestra un borde hiperintenso y una señal más realzada. La curación de la lesión (estadios C y D) se muestran con una baja intensidad de señal.


En resumen, hay 2 subtipos; 

El defecto cortical fibroso; 

Es la lesión más común.

Es pequeña <0.5cm, radiolucente, en la cortical, y márgenes bien definidos.

El defecto metafisario; 

La lesión normalmente se desarrolla en la metáfisis del fémur distal (90% de  los casos) la tibia distal, y  excéntricamente. 

Localizada dentro de o adyacente a la cortical.

Puede localizarse excéntricamente dentro de la cavidad medular. 

La cortical puede abombarse sobre la lesión, como falta de remodelación. 

Puede rodearse por un margen delgado bien definido de hueso reactivo. 

No se ve ninguna reacción perióstica a menos que haya habido una fractura.    

Histología:   

El fibroma no osificante, normalmente es marrón, amarillo, o grisáceo y está compuesto de tejido fibroso blando o firme.

Histológicamente, independientemente del tamaño, el defecto fibroso cortical y el fibroma no osificante son idénticos. La lesión está compuesta por una proliferación fibroblástica con patrón en remolinos (estoriforme o en rueda de carro) que alterna con células xánticas y osteoclastos. En estadio temprano, se puede evidenciar también un estroma fusocelular, típico de las lesiones fibrohistiocíticas. Cuando la lesión madura a fases medias y regresivas, se aumenta la producción de colágeno, disminuye el número de células gigantes, y aumenta el número de macrófagos ricos en lípidos. El pigmento de hemosiderina está presente a lo largo de la vida de la lesión pero aumenta con la maduración. 

El diagnóstico diferencial de estos tumores incluye tumor pardo del hiperparatiroidismo, Enfermedad de Paget, histiocitoma fibroso, fibroma desmoplástico de hueso, osteosarcoma, y displasia osteofibrosa.

Diagnóstico diferencial:   

Radiológico

Si el defecto fibroso cortical afecta a la parte posterior del fémur distal

  • Desmoide periosteal

Un fibroma no osificante localizado en un hueso largo o plano puede confundirse con:

  • Displasia fibrosa

  • Fibroma desmoplástico

Una lesión en fase de curación con una esclerosis atípica puede recordar

  • Infarto óseo medular

  • Metástasis esclerosas

  • Islote óseo

Si la lesión se localiza en un hueso delgado (ejemplo, peroné, radio) y ocupa todo el diámetro del hueso y pierde su excentricidad característica puede recordar a:

  • Quiste óseo simple

  • Quiste óseo aneurismático

  • Granuloma de células de Langerhans

Histológico

  • Histiocitoma fibroso benigno. Similar histología pero con diferencias clínico-radiográficas.    

  • Histiocitoma fibroso maligno. El fibroma no osificante con una arquitectura estoriforme e hipocelular. El diagnóstico también se basa en la clínica y la radiografía.

  • Tumor de células gigantes. Las células gigantes presentes en el fibroma no osificante no están distribuidas uniformemente en toda la lesión como en el tumor de células gigantes.

  • Displasia fibrosa, displasia osteofibrosa y osteosarcoma intraóseos de bajo grado. En el fibroma no osteogénico no hay formación de hueso.

Tratamiento 

Una lesión que no está causando síntomas no necesita tratamiento. Una lesión muy grande puede debilitar teóricamente el hueso y puede necesitar tratamiento profiláctico. Se ha propuesto que un fibroma no osificante que involucran más de 50 % del ancho del hueso en las radiografías simples en dos proyecciones o tiene más de treinta y tres milímetros de longitud puede causar fractura y debe ser tratado. Si la lesión requiere tratamiento, el curetaje intralesional local con injerto óseo es suficiente. Para obviar la morbosidad asociada con el injerto autólogo, se puede usar aloinjerto. Si se produce una fractura patológica a través de un fibroma no osificante, la fractura puede promover la curación y puede llevar a la regresión más rápida de la lesión, y por ello evitar la necesidad del tratamiento quirúrgico.

Manejo de las fracturas: 

El fibroma no osificante puede actuar como una salida de tensión en el hueso que puede conducir a una fractura de estrés tras una marcha fuerte. 

Esta fractura producirá dolor y aumento  de captación en la gammagrafía.

En los niños, el tratamiento cerrado es el tratamiento de elección en la mayoría de los casos. 

Estas fractura se esperan que curen con una cantidad normal de callo, pero puede o no haber resolución del fibroma . 

El curetaje  intracapsular es normalmente suficiente para promover la curación de la lesión, sin embargo, el defecto puede   complementarse  con injertos de hueso u otras técnicas de estabilización para la profilaxis o el tratamiento de la fractura 

//-->