
El quiste sinovial engloba dos entidades:
El pseudoquiste sinovial (ganglial cyst), que es una tumefacción llena de líquido viscoso, desarrollado alrededor de las vainas tendinosas y de las articulaciones, así como en la epífisis ósea. Es el resultado de una degeneración mucoide del tejido conjuntivo paraarticular o paratendinoso. Se diferencia histológicamente con el quiste sinovial en que carece de una capa de células sinoviales
El quiste sinovial propiamente dicho (synovial cyst) que es una expansión de la membrana sinovial de las grandes articulaciones como la cadera y la rodilla.
Los
quistes
ganglionares
son
lesiones
muy
comunes.
Normalmente
ocurren
en
la
muñeca
dónde
se
reconocen
fácilmente.
Fuera
de
de
su
situación
típica,
en
una
extremidad
superior,
pueden
simular
lesiones
clínicamente
más agresivas (figura 1).
Los
quistes
ganglionares
pueden
surgir
de
la
articulación
tibioperonea
proximal
y
de
las
articulaciones
del
tobillo.
En
la
rodilla,
pueden
comprimir
el
nervio
peroneal
común,
causando
un
déficit
neurológico.
En
el
tobillo,
los
nervios
tibiales
posteriores
la
compresión
puede
causar
el
síndrome
del
túnel
tarsiano.
El
tratamiento
es
la
escisión
del
quiste.
Cuando
es
posible,
el
tallo
debe
ser
seguido
hasta
su
origen,
aunque
esto
no
siempre
es
factible.
Aunque
la
recidiva
es
común,
y
es
normalmente
más
pequeña
y
la
mayoría
de
los
pacientes
no
necesite
un
segundo
procedimiento.
Los
quistes
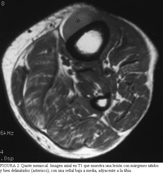
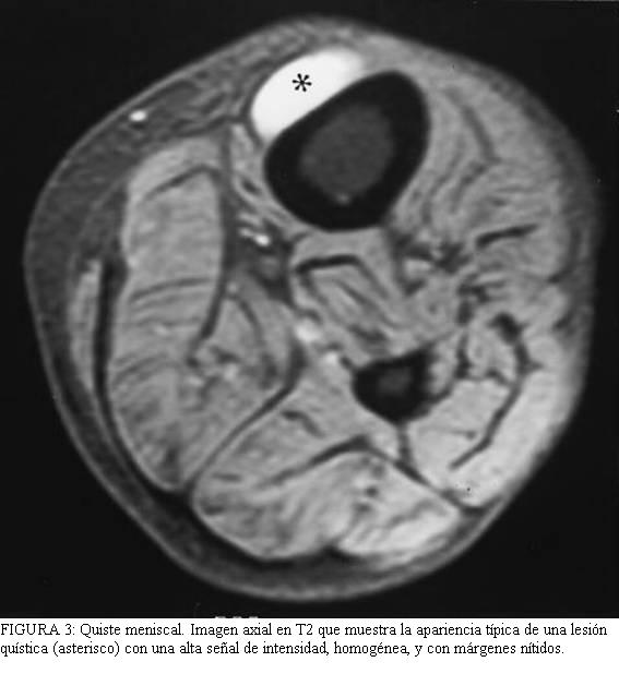
poplíteos y meniscales (figuras
2 y 3) son
una
categoría
especial
de
quiste
ganglionares
y
frecuentemente
contienen
fluido
viscoso
rico
en
hialurónico
que
es
indistinguible
del
fluido
en
ganglios
más
convencionales
encontrados
en
los
sitios
hipodérmicos.
Éstos
quistes
pueden
hacerse
bastante
grandes
y
firmes
y
pueden
fácilmente
confundirse
con
un
inquietante
sarcoma
del
hueco
poplíteo.
El
examen
del
fluido
aspirado
con
una
aguja
calibre
18
revela
el
volumen
de
la
masa,
y
si
el
material
aspirado
es
indeterminado
una
resonancia
magnética
clarificará
la
naturaleza
de
la
masa.
La
imagen
de
resonancia
magnética
normalmente
demuestra
la
comunicación
con
la
articulación
de
la
rodilla
y
que
la
lesión
contiene
líquido.
La
mayoría
de
los
quistes
poplíteos
sintomáticos
son
secundarios
a
un
etiología
intra-articular
(como
las
roturas
del
meniscales,
la
artritis,
o
artrosis),
y
el
tratamiento
debe
dirigirse
a
la
patología
específica.