
Sinónimos: Plasmacitoma maligno; Plasmacitoma del hueso; Mieloma de célula de plasma; Discrasia de células plasmáticas.
Definición OMS:
Tumor maligno, que habitualmente muestra compromiso óseo difuso o múltiple,
y que se caracteriza por la presencia de células redondas del tipo de las
células plasmáticas pero con diversos grados de inmadurez, incluyendo
formas atípicas.
El mieloma es un tumor maligno de células plasmáticas que nace de un solo clon. |
|
El mieloma múltiple supone > 40% de los tumores malignos primarios de hueso. Es el tumor primario maligno más común del hueso. |
|
Puede originarse como un simple tumor intraóseo pero más a menudo se desarrolla como lesiones dolorosas múltiples a lo largo del esqueleto (mieloma múltiple). |
|
Tanto de los solitarios como de los múltiples, el mieloma se extiende para involucrar virtualmente toda la médula del hueso que eventualmente produce la muerte. |
|
Las lesiones están a menudo asociadas con la presencia de proteínas anormales en sangre y orina, y ocasionalmente con la presencia de amiloide o para-amiloide en el tejido tumoral o en otros órganos. Es una neoplasia desarrollada a expensas de los elementos hematopoyéticos de la médula ósea, casi siempre de las células plasmáticas de origen reticular. Se caracteriza por una disproteinemia con intensa hiperproteinemia. En la orina existe un prótido, denominado albumosa de BENCE-JONES, que coagula a 60º y se redisuelve por ebullición. |
|
GRIFFITHS señala cuatro formas:
|
Los estadios de la enfermedad se clasifican estimando:
La masa celular del mieloma tumoral en base a la cantidad de proteína monoclonal o de mieloma (proteína M) existente en el suero, la orina o ambos, junto a varios parámetros clínicos tales como |
|
Las concentraciones de hemoglobina y de calcio en el suero. |
|
El número de lesiones osteolíticas. |
|
La presencia o ausencia de insuficiencia renal. |
El estadio en que se encuentre la enfermedad en su presentación es un factor determinante importante del tiempo de supervivencia, pero tiene muy poca influencia en la elección del tipo de tratamiento, ya que todos los pacientes (excepto aquellos pacientes poco comunes con tumores óseos solitarios o plasmocitomas extramedulares) padecen enfermedad generalizada. La selección del tratamiento estará influida por la edad y el estado general del paciente, tratamientos previos y la presencia de complicaciones de la enfermedad.
Mieloma Múltiple |
Mieloma múltiple en estadio I
Masa estimada de las células del mieloma:
inferior a 0.6 billones de células por metro cuadrado (carga baja)
La insuficiencia renal empeora el pronóstico independientemente del estadio. |
Mieloma múltiple en estadio II En este estadio II el mieloma múltiple se
presenta con:
La insuficiencia renal empeora el pronóstico independientemente del estadio. |
Mieloma múltiple en estadio III
Masa estimada de células del mieloma: mayor de
1.2 billones de células por metro cuadrado (carga alta)
|
| La microglobulina beta-2 sérica ha mostrado ser un indicador confiable para el pronóstico. Puesto que la gran mayoría de pacientes con mieloma sintomáticos son clasificados como estadio III por los criterios de Durie/Salmon, este sistema de clasificación no ha probado ser muy útil para identificar a los pacientes con pronóstico precario e intermedio. Muchos investigadores están a favor de un sistema más simple que utilice solamente las concentraciones de microglobulina beta-2 y albúmina para determinar la estadio de los pacientes. La insuficiencia renal empeora el pronóstico independientemente de la estadio. Las anormalidades de los cromosomas 13 y 11q y la morfología plasmablástica parecen haber pronosticado un resultado precario en una población de pacientes cuyo mieloma fue tratado con quimioterapia de dosis elevadas y rescate con células madre. |
| De National Cancer Institute |
El pronóstico es pobre. Depende de la edad del paciente y el estadio de la enfermedad.
Algunos casos son muy agresivos, mientras que otros toman años en progresar.
Es potencialmente curable cuando se presenta como un plasmocitoma óseo solitario o como un plasmocitoma extramedular. Antes de utilizarse la quimioterapia, el promedio de supervivencia era cerca de 7 meses, pero con la introducción de la quimioterapia, el pronóstico mejoró significativamente, dándose un promedio de supervivencia de 3 a 5 años y una supervivencia a 10 años del 3%
Más frecuente en los hombres 2:1. El 75% de los casos entre 50 y 70 años de edad.
Se localiza, preferentemente, en los huesos donde existe médula ósea roja: vértebras, costillas, esternón, pelvis, cráneo y huesos largos (tercio proximal fémur y húmero).
Aproximadamente el 80% de pacientes tienen como queja principal el dolor óseo con sensibilidad difusa de hueso, particularmente sobre el esternón, pelvis y columna vertebral. Posteriormente pueden aparecer síntomas radiculares.
La sensación de tumor es menos frecuente, ya que a veces los nódulos mielomatosos son pequeños o asientan en huesos profundos, a la palpación suele ser de dos a tres cm. de diámetro
El crecimiento de células plasmáticas interfiere con la producción de glóbulos rojos, glóbulos blancos y plaquetas, por lo que se desarrolla anemia, susceptibilidad a infecciones y tendencia al sangrado.
También pueden parecer síntomas constitucionales, fiebre, anemia,
trombocitopenia, y fracaso renal.
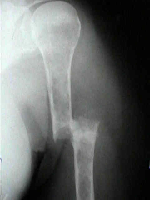
Las fracturas patológicas de columna o fémur pueden ser el primer
síntoma. Se producen con un traumatismo mínimo o incluso sin trauma.
El rango de duración de los síntomas es tan corto como pocas semanas hasta
más de 2 años.
Complicaciones
Insuficiencia renal. Es una complicación frecuente causada por exceso de calcio en la sangre que resulta de la destrucción de los huesos
Aumento de la susceptibilidad a infecciones (especialmente a la neumonía).
Parálisis derivada del tumor o de la compresión de la médula o las raíces en la columna vertebral.
Fracturas patológicas
Perfil químico: muestra aumento en el calcio sérico, proteína total y función renal anormal. |
|||||||
Hematocrito bajo (anemia normocítica e hipocrómica), conteo de glóbulos rojos bajo, plaquetas bajas y conteo de glóbulos blancos bajo. |
|||||||
Las células plasmáticas pueden pasar a la sangre circulante y generar un cuadro de leucemia plasmática. |
|||||||
Velocidad de sedimentación globular elevada. |
|||||||
Uremia revelando compromiso renal |
|||||||
La hipercalcemia puede ocurrir en 20-40% de pacientes. |
|||||||
El estudio de las proteínas séricas y urinarias es de gran importancia diagnóstica:
|
Radiográficos:
Las radiografías normales pueden mostrar osteopenia difusa.
"Lesiones perforadas" o en "sacabocado" sin ninguna formación de nuevo-hueso circundante. Su diámetro es variable (hasta 5 cm.), redondas y múltiples.
Con el tiempo las lesiones pueden cambiar de osteopenia difusa a más permeativa con patrón destructivo apolillado, y a veces con expansión cortical.
La destrucción del hueso ocurre con poca o ninguna formación de hueso reactivo a menos que haya una fractura patológica.
Gammagrafía:
Puede o no parecer frío. El rastreo óseo, aunque probablemente mostrara actividad aumentada en el sitio de fractura, no muestra aumento incluso en el sitio de lesiones discretas en el 25% de los pacientes.
RM:
La RM de columna puede mostrar evidencia de áreas desiguales, consistente en elementos de la médula enferma.
Serie ósea:
El estudio del esqueleto es el estudio radiográfico más útil para hacer el diagnóstico.
Los mielomas pueden presentarse como lesión solitaria o más normalmente como un tumor difuso, involucrando múltiples huesos, incluyendo vértebras, cráneo, pelvis y fémures.
Busque una o mas fracturas en la columna.
Las lesiones perforadas bien delimitadas se
ven mejor en el cráneo.
La punción medular (esternal y/o iliaca) es fundamental para determinar la cifra de plasmocitos; un aumento del 5 al 10% en el número de células plasmáticas típicas no es concluyente, pues igual puede ser encontrado en otras enfermedades. Por otro lado la presencia de numerosas células grandes con uno o más núcleos atípicos, a menudo bizarros, es concluyente..
Entre 10-20% sugieren mieloma. Mayor del 20-30% de células plasmáticas son diagnóstico de mieloma.
Los estudios immunohistoquímicos pueden mostrar las cadenas lambda ligeras o las cadenas pesadas y las cadenas ligeras kappa.
Macroscópica: Masas grises de
consistencia blanda, friable, a veces están acompañados por tejidos de
consistencia más firme, que corresponden a amiloide. Con áreas hemorrágicas
y muy vascular, lo que hace difícil contener la hemorragia en las biopsias.
Microscópica: Masa de células redondas, con escaso o sin estroma
conectivo vascular intercelular; aumento de células plasmáticas; más del
10% en el frotis ya es diagnóstico.
Radioterapia:
El mieloma es sensible a la radioterapia, y la reosificación de los defectos del tumor pueden ocurrir dentro de varios meses.
La radioterapia se recomienda para el dolor
rebelde del hueso, especialmente si el dolor es localizado.
Puede ser dramáticamente eficaz en el alivio de los síntomas.
Quimioterapia:
-
está
indicada
cuando
hay
diseminación;
-
la
supervivencia
a
los
5
años
permanece
por
debajo
del
30%;
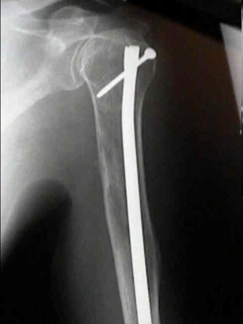
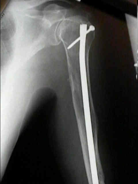
Fijación
quirúrgica:
El enclavado IM femoral profiláctico:
Las personas con casos leves de la enfermedad o en quienes el diagnóstico
es dudoso no requieren otro tratamiento que la observación. Algunas
personas presentan una forma de la enfermedad de desarrollo lento que toma
años antes de causar síntomas y el tratamiento se inicia cuando la
enfermedad avanza o causa síntomas.
La quimioterapia y la radioterapia localizada para aliviar los dolores
óseos o tratar un tumor de hueso pueden ser de utilidad. Algunas veces, se
usa el trasplante de médula ósea en pacientes jóvenes, pero los resultados
de este tratamiento a largo plazo se desconocen.
Hay muchos estudios médicos (ensayos clínicos) para buscar mejores maneras
de tratar el mieloma múltiple y se están probando tratamientos nuevos y
prometedores, de tal manera que el paciente debe discutir con el médico su
participación en dichos estudios.
Se deben tratar los síntomas de calcio sérico elevado y evitar la
deshidratación para optimizar la función renal.
Solitary
plasmacytoma
of
bone
and
extramedullary
plasmacytomas: A
clinicopathologic
and
immunohistochemical
study.
JM
Meis
et
al. Cancer.
Vol
59.
1987.
p
1475-1485;